Xbbbb
Xbbbb
Tierheim & Tierschutzverein Wolfenbüttel e.V. 05331 - 62022 ...weil jede Pfote zählt
     Tierheim &Tierschutzverein Wolfenbüttel e.V.   05331 - 62022                                                                 ...weil jede Pfote zählt 

 

 

 

Aktuelles 

 

04.04.2026
Zum heutigen #Weltstreunertag rücken wir eines der größten unbemerkten Tierschutzprobleme in den Fokus: das Leid der Straßenkatzen in Deutschland.
 
Was vielen nicht bewusst ist: Das Leid entsteht nicht irgendwo weit weg, sondern direkt vor unserer Haustür.
Unkastrierte Katzen vermehren sich unkontrolliert – und jedes Jahr kommen unzählige Tiere hinzu, die krank und hungrig auf der Straße leben müssen.
 
Warum das uns alle betrifft:
Unkastrierte Katzen führen langfristig zu überfüllten Tierheimen, überlasteten Ehrenamtlichen und steigenden Kosten für Tierschutz und Kommunen. Katzenschutz ist also nicht nur Mitgefühl, sondern auch Verantwortung als Gesellschaft.

Was es jetzt braucht:
Mehr Aufmerksamkeit, klare gesetzliche Regelungen und Menschen, die nicht wegschauen.
Das Problem ist menschengemacht – und genau deshalb können wir es auch lösen.
Alles zur Kampagne, das Aufklärungsmaterial, unsere Blumenaktion und was du konkret für Straßenkatzen tun kannst, findest du auf www.jetzt-katzen-helfen.de/wir-brauchen-dich

 

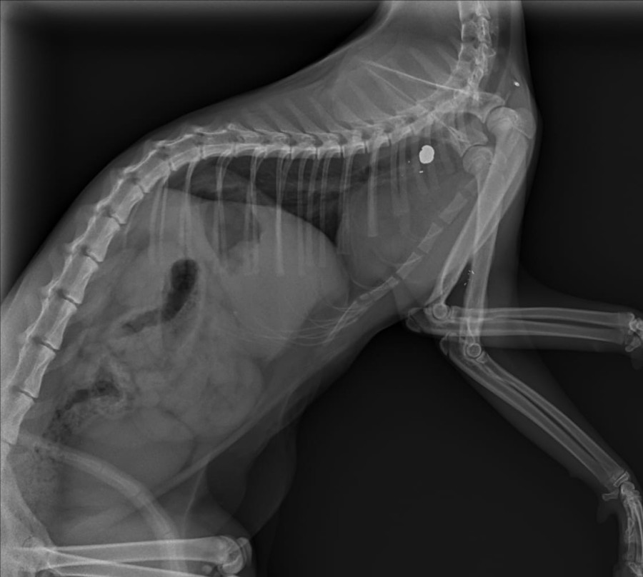
Tapfere kleine Foxy - Das stille Leid der „Straßenkatzen“

 

Vor einiger Zeit fanden 3 Jungkatzen Aufnahme im Tierheim, nachdem sich Tierfreunde bemühten sie einzufangen. Vermutlich wurden sie draußen geboren, von ihrer Mutter fehlt aktuell jede Spur.

Das ein Katzenmädchen humpelte, fiel schon den lieben Tierfreunden auf, die sich kümmerten. Nach Ankunft im Tierheim wurde sie sie erstmal mit Schmerzmitteln versorgt und schnellstmöglich einem Tierarzt vorgestellt.

Wir sind von vielen verschiedenen Optionen ausgegangen…vertreten, versprungen, evtl. ein Infekt mit Fieber…aber was uns dann vom Tierarzt auf dem Röntgenbild gezeigt wurde, hat uns sprachlos gemacht.

In der linken Schulter des kleinen zarten Katzenmädchens befindet sich ein Projektil, vermutlich von einem Luftgewehr.

Irgendwann muss irgendwer auf dieses kleine unschuldige Wesen geschossen haben als sie noch sehr klein war, da es äußerlich keine Wunde mehr gab.

Leider ließ sich das Projektil nicht entfernen, die Gefahr Muskeln und Sehnen auf Dauer zu schädigen um bis zum Projektil vorzudringen wäre einfach zu groß gewesen.

Aktuell macht sich die kleine Foxy sehr gut. Ob das Humpeln nur vom Geschoss kam oder es noch zusätzlich einen Infekt gab ist nicht mehr festzustellen. Fakt ist, der kleinen Maus geht es aktuell sehr gut und sie kann bald zusammen mit ihren Schwestern oder zu einem vorhandenen Katzenkind ein neues Zuhause in Wohnungshaltung beziehen.

 

Nachdem wir neulich diese zauberhafte Kleintierfutter-Spende (die zukünftig regelmäßig kommt) von @rewe_familiehoffmann (Am Rodeland) bekommen haben, reiht sich gleich die nächste Unterstützung ein: @rewe_phil_baseniak im Forum sammelt nun auch an der Leergutannahme Pfandbons für unser Tierheim 

Wir sind absolut baff von all dem Support in letzter Zeit und können einfach nur DANKE sagen  

Also fleißig bei Rewe (Am Rodeland und im Forum) einkaufen und Pfandbons in den Spendenkasten werfen - unsere Tiere werden sich freuen

 

März 2026

Nachdem Warneke Tiernahrung uns vor Weihnachten schon eine ganze Palette Futti gesponsert hat, kamen die Kolleginnen letzte Woche gleich nochmal und haben uns und unsere Hunde besucht - natürlich mit einer Riesenladung Wuffimix im Gepäck

 

Wir sagen vielen Dank im Namen unserer Hunde, die das Futter großartig finden.

 

 

 

Der Paritätische Wolfenbüttel 05331 - 92 00 60

selbsthilfe.wolfenbuettel@paritaetischer.de

 

Für mehr Infos:  https://paritaetischer.de/selbsthilfe-wolfenbuettel/selbsthilfegruppen/

Das Fundbüro für Tiere

 

Der Tierschutzverein Wolfenbüttel e.V. unterhält das Tierheim Wolfenbüttel.

Es ist sozusagen das Fundbüro für Tiere für den gesamten Landkreis. Im Tierheim finden entlaufene Haustiere Aufnahme und es wird geprüft, ob sie mit einem Mikrochip gekennzeichnet und registriert sind. Wenn dies der Fall ist, kann der jeweilige Besitzer benachrichtigt werden und das Fundtier kann schnell wieder nach Hause.

Im Jahr 2025 konnten auf diese Weise 29 Katzen, 13 Hunde, 3 Vögel und 4 Kleintiere wieder an ihre Besitzer zurückvermittelt werden. Von den zahlreichen anderen Fundtieren, die nicht wieder aus dem Tierheim abgeholt wurden, muss man leider annehmen, dass sie herrenlos waren.

Für Fundtiere sind Städte und Kommunen gesetzlich zuständig. Diese Aufgabe wird jeweils an Tierheime delegiert. In Wolfenbüttel hat das Tierheim, Am Rehmanger diese Aufgabe inne. Wenn erforderlich sind die Mitarbeiterinnen des Tierheims von Winnigstedt bis Schandelah, von Gr. Elbe bis Werlaburgdorf oder auch von Gielde bis Evessen im Einsatz um Tiere zu retten und ihnen zu helfen. Es ist ein großes Einzugsgebiet, welches durch den zuständigen Tierschutzverein Wolfenbüttel abgedeckt wird.

Manchmal ist es den Findern eines kranken oder verletzen Tieres möglich, es selbst eilig ins Tierheim oder zum Tierarzt zu bringen, nach telefonischer Anmeldung. Die Aufnahme von Fundtieren hat gegenüber der Abgabe von Privattieren stets Priorität. Ein Fundtier hat immer Anspruch auf Aufnahme im Tierheim. Dort gehört es hin, bis es wieder an seinen Besitzer zurückgeht, denn niemand darf ein gefundenes Tier einfach für sich behalten!

Im Notfall werden kranke Tiere durch die Tierheim Mitarbeiterinnen oder Finder sofort zum Tierarzt oder in eine Tierklinik gebracht. Nach der tierärztlichen Behandlung werden sie im Tierheim versorgt. Gleichzeitig wird auch bei fehlendem Chip oder fehlender Registrierung alles versucht, den Besitzer ausfindig zu machen.

Wenn Hunde oder Katzen gechippt und registriert sind, kann der Tierhalter meistens sehr schnell ermittelt und informiert werden, wo sein vierbeiniges Familienmitglied auf ihn wartet – nämlich an einem sicheren Ort im zuständigen Tierheim. 

 

Liebe Unterstützerinnen und Unterstützer,
wir freuen uns sehr über Sachspenden, die wir für unsere Flohmärkte nutzen können – denn mit dem Erlös helfen wir direkt unseren Tieren. ?

Bitte habt aber Verständnis: Wir können nur gut erhaltene und saubere Dinge annehmen. Leider landen bei uns zunehmend Gegenstände, die eher für den Sperrmüll geeignet sind. Dafür fehlt uns nicht nur der Platz, sondern es verursacht auch zusätzliche Arbeit und Kosten.

? Bringt uns also bitte nur das, was ihr selbst auch noch kaufen würdet – dann helft ihr uns und unseren Schützlingen am meisten. ?

Vielen Dank für euer Verständnis und eure Unterstützung!

 

Weitere wichtige Infos und Tipps wie Sie Igeln das Leben erleichtern können finden Sie unter https://www.pro-igel.de/

Igelfreundlicher Garten

Deutscher Tierschutzbund   © R. Ehrhardt

Tagsüber verstecken sich Igel in Kompost- oder Reisighaufen, einer Böschung oder einer Hecke. Sie verlassen das Versteck nur zwischen Dämmerungsbeginn und Morgengrauen, um auf Nahrungssuche zu gehen.

Lassen Sie daher aufgehäufte Gartenabfälle liegen. Sie sind oft ein ideales Winterquartier für die Tiere. Laubsauger und -bläser können zu einer Gefahr für Igel werden: Kleinere Igel können eingesaugt und getötet werden. Außerdem entfernen die Geräte nicht nur Laub, sondern auch Insekten, Würmer und Weichtiere, die dem Igel als Nahrung dienen.

 

Fachgerechte Betreuung beim Tierschutzverein

In den ersten Frosttagen wandern viele Igel noch im Freien umher. Oft nehmen Tierfreunde die scheinbar hilflosen Tiere auf. Der Deutsche Tierschutzbund warnt jedoch vor gutgemeinter, aber falsch verstandener Tierliebe.

Sollten Sie in den Herbsttagen einen Igel tagsüber sehen, beobachten Sie ihn zunächst aus sicherer Entfernung. Nicht immer braucht ein solches Tier Hilfe. Nur stark untergewichtige, verletzte oder kranke Igel sind wirklich hilfsbedürftig. Kranke oder verletzte Igel erkennt man beispielsweise daran, dass sie am Tag herumliegen, mager sind und sich apathisch verhalten.

Das Körpergewicht allein ist kein Maßstab, um die Hilfsbedürftigkeit eines Igels zu beurteilen. Zusätzlich müssen auch die geographische Lage seines Wohnortes, die jeweiligen Witterungsbedingungen und seine körperliche Konstitution berücksichtigt werden. Jungigel, die im November deutlich weniger als 500 Gramm wiegen, haben ohne Zufütterung allerdings kaum eine Aussicht, das nächste Frühjahr zu erleben.

Bei einem solchen geschwächten Igel gilt: Vorsichtig aufnehmen und zum Tierarzt bringen oder bei einem der Tierheime der Mitgliedsvereine des Deutschen Tierschutzbundes in Obhut geben. Dort gibt es Tipps für die weitere Behandlung und besonders für die Nahrungsauswahl. Denn falsche Ernährung kann das Todesurteil für einen Igel bedeuten. Das sicher gut gemeinte Schälchen warme Milch am Morgen kann dem Igel den Tod bringen.

 

 

Wichtig: Bitte möglichst vor dem "einsammeln" eines Igels bei uns oder anderen fachkundigen Stellen nachfragen, was getan werden soll !!!

Deutscher Tierschutzbund

Pressemeldung

 

30.04.2020

 

Nicht alle Jungvögel brauchen Hilfe

 

Wenn in den kommenden Wochen die Brutsaison der heimischen Vögel voranschreitet, sollten Tierfreunde nicht vorschnell eingreifen. Darauf weist der Deutsche Tierschutzbund hin. So können befiederte Jungvögel zwar hilflos wirken, sie stehen aber meist weiter mit den Elterntieren in Verbindung. Eine gut gemeinte „Rettung“ ist daher nicht nötig. Anders verhält es sich bei aus dem Nest gefallenen, noch federlosen Vogelküken. Diese sind auf menschliche Hilfe angewiesen. Ihre Versorgung und Aufzucht sollte man jedoch Fachleuten in Wildtierauffangstationen überlassen.

 

„Wer ein Vogelküken ohne Federkleid hilflos am Boden liegen sieht, sollte eingreifen und das Tier – wenn möglich – ins elterliche Nest zurücksetzen“, rät James Brückner, Leiter des Referats für Natur- und Artenschutz beim Deutschen Tierschutzbund. „Dabei darf man die Jungvögel auch berühren: Die Altvögel stören sich nicht am menschlichen Geruch. Wenn das Küken verletzt oder es nicht möglich ist, es zurück ins Nest zu setzen, sollte man das Tier mitnehmen und zu einem Tierarzt bzw. einer Auffangstation bringen“, so der Experte. Für die vorübergehende Unterbringung des Vogels ist am besten ein ausgepolsterter Pappkarton geeignet, der – weil die Tiere häufig unterkühlt sind – am besten im Haus untergestellt wird. Da es gerade für Laien schwierig ist, die Vogelart zu bestimmen, sollte man besser keine Fütterungsversuche unternehmen. Auch Wasser sollte allenfalls älteren Jungvögeln angeboten und keinesfalls in den Schnabel geträufelt werden, da sonst Erstickungsgefahr besteht. „Wichtig ist, dass die Tiere so schnell wie möglich in sachkundige Hände übergeben werden“, so Brückner.

 

Eingreifen bei Ästlingen und Nestflüchtern meist nicht notwendig

Anders als noch unbefiederte Küken warten ältere Jungvögel im Geäst oder an geschützten Orten auf die Rückkehr der Elterntiere, die sie weiterhin füttern. Die sogenannten „Ästlinge“ sind zwar schon befiedert, aber noch nicht voll flugfähig. Sie bewegen sich eher hopsend fort und wirken daher unbeholfen. Diese Tiere benötigen keine Hilfe, es sei denn, sie sind verletzt. Eine Ausnahme bilden Alpen- und Mauersegler: Erwachsene Tiere verbringen ihr gesamtes Leben in der Luft und suchen nur zum Brüten Unterschlupf in hoch gelegenen Mauerspalten. Da die Elterntiere nicht vom Boden starten können und daher dort auch nicht landen, bleiben aus dem Nest gefallene Jungtiere unversorgt. Sie sollten umgehend an Fachleute übermittelt werden. Kein Handlungsbedarf besteht dagegen bei Nestflüchtern, wie jungen Enten, Gänsen oder Rallen, die bereits mit einem dichten Dunengefieder zur Welt kommen. Sie sind in der Lage ihr Nest ein bis zwei Tage nach dem Schlüpfen zu verlassen.

 

 

(Text und Foto Quelle: Deutscher Tierschutzbund)

Deutscher Tierschutzbund - Taubenschutz-Kampagne

Keine Angst vor Stadttauben

 

Tauben werden oft als „Ratten der Lüfte“ bezeichnet. Viele Menschen mögen sie nicht besonders und fürchten sich vor Infektionen. Auch sind die Tiere in Städten meist nicht erwünscht, da sie Gebäude und Plätze verunreinigen.

Von der Taube sagt man, dass man sie liebt oder hasst. Doch Hass hat die Taube nicht verdient: Sie ist ein sehr liebenswertes und intelligentes Tier, steht für Liebe und Frieden und ist treu. Auch wenn man sie nicht liebt, hat sie doch von jedem eines verdient: Respekt. 

 

Woher kommen die Stadttauben?

Sie sind Nachkommen entflogener Haustauben. Ursprünglich stammen sie von der Felsentaube ab. Diese holte der Mensch einst selbst in die Städte, um sie aus verschiedenen Gründen zu züchten. Doch nun lassen wir sie im Stich, vertreiben sie mit Netzen, Spikes – Spitzen auf Simsen und Dächern, Abwehrgelen oder -pasten, vergiften und treten sie und beschimpfen sie als Krankheitsüberträger. Doch das muss nicht sein!

So können Sie helfen:

Es ist ganz einfach: Sie müssen Tauben nicht lieben, aber behandeln Sie unsere städtischen Mitbewohner mit Respekt. 

  • Keine Angst vor Krankheiten. Die gesundheitliche Gefährdung durch Tauben ist nicht größer als die durch andere Zier- und Wildvögel oder Haustiere. 
  • Bitte nicht unkontrolliert füttern. Dem Zufutter fehlen oft wichtige Nährstoffe und auch die unregelmäßige Fütterung birgt Probleme für die Tiere. 
  • Tauben kennenlernen. Tauben stehen für Liebe und Frieden. Sie sind treue Tiere und bleiben ein ganzes Leben lang mit ihrem Partner zusammen. Sie sind sehr intelligent und können sogar menschliche Gesichter wiedererkennen. 
  • Nicht quälen oder ärgern. Niemand wird gerne getreten oder verscheucht. Das Leben der Tauben in der Stadt ist schon schwierig genug. Wir sollten es ihnen nicht noch schwerer machen.
  • Stadt auf tierschutzgerechte Lösungen ansprechen. Taubenhäuser und -türme helfen dabei, den Bestand der Tauben tiergerecht zu regulieren. So können sie artgerecht gefüttert und ihre Gesundheit kontrolliert werden. Die Tiere können in Ruhe nisten und ihre Eier durch Attrappen ausgetauscht werden. Dadurch entsteht ein kleinerer, gesunder Stadttaubenbestand. Unser Leitfaden und unsere Checkliste zeigen wie es geht.
  • Tauben in Not helfen. Wenn Sie eine kranke oder verletzte Taube sehen, fragen Sie am besten bei einem Stadttauben- oder Tierschutzverein nach, wie und ob man dem Tier helfen kann.
  •  

Mehr Infos zum Thema: RespekTaube

 

 

Der Tierschutzbund informiert:

Ganzjährige Kleintierhaltung im Freien

Im Frühjahr kann die Umgewöhnung beginnen

 

Kaninchen und Meerschweinchen sollte man am besten im Frühjahr an die ganzjährige Haltung im Freien gewöhnen. Darauf weist der Deutsche Tierschutzbund hin. Mit der Eingewöhnung kann man beginnen, sobald die Nächte keinen Bodenfrost mehr aufweisen – laut den Bauernregeln dient hier der Gedenktag der „kalten Sophie“ (15. Mai), der letzte der Eisheiligen, als Anhaltspunkt.

 

„Damit es durch frisches Gras nicht zu einem abrupten Futterwechsel und möglichen Verdauungsproblemen kommt, sollte man schrittweise vorgehen und die Tiere im Haus zunächst an Frischfutter gewöhnen“, empfiehlt Dr. Henriette Mackensen, Leiterin des Heimtierreferats beim Deutschen Tierschutzbund. „Gehört frisches Gras sowieso zum täglichen Fütterungsrepertoire, kann man diesen Schritt überspringen und die Tiere stundenweise nach draußen setzen –irgendwann dann auch über Nacht.“

 

Wenn Kaninchen und Meerschweinchen im Frühjahr an die Außenhaltung gewöhnt werden, können sie von da an auch das ganze Jahr über draußen leben. Bevor der Winter kommt, haben sie genügend Zeit, sich langsam an wechselnde Außentemperaturen zu gewöhnen. Spätere Umgewöhnungen, etwa im Sommer, sind nicht ideal, ab September ist es dann zu spät für die Umgewöhnung an die ständige Außenhaltung. „Nichtsdestotrotz dürfen Kaninchen und Meerschweinchen dann aber bei wärmeren Temperaturen auch so stunden- oder tageweise nach draußen“, so Mackensen. Mütter mit Jungtieren sowie kranke Tiere pflegt man in der Regel allerdings das ganze Jahr über besser drinnen.

 

Schutz vor Sonne, Kälte und Fressfeinden
Grundsätzlich sollten die geselligen Tiere mindestens zu zweit in ausreichend großen Gehegen – in der Außenhaltung mit wetterfesten Schutzhütten - untergebracht sein. Das Gehege sollte ausbruchsicher sein und ebenso Schutz vor dem Eindringen von Mardern oder Füchsen bieten. Da sich in Kotverschmutzungen am After bzw. am Hinterteil der Tiere draußen schnell Fliegenmaden einnisten können, sollte man dies regelmäßig kontrollieren und bei Durchfall sofort den Tierarzt aufsuchen. Im Sommer benötigen Kaninchen und Meerschweinchen unbedingt Schutz vor der prallen Sonne. Das Gehege platziert man daher zum Teil im Schatten oder Halbschatten. Im Winter sollte man die Schlafstellen mit Zeitungspapier und viel Heu isolieren und immer trocken halten. Die Temperatur in der Schutzhütte sollte nicht unter null Grad fallen. In sehr kalten Nächten kann dabei ein untergelegtes Wärmekissen helfen.

 

(Quelle: Text und Bild Deutscher Tierschutzbund)

18.02.2019

 

Pressemeldung

Deutscher Tierschutzbund launched App „Mein Haustier“

 

„Mein Haustier“, die offizielle App des Deutschen Tierschutzbundes, ist ab dem 20. Februar, dem Liebe-Dein-Haustier-Tag, in allen App-Stores zu finden. Mit der kostenfreien App richtet sich der Verband an Hunde- und Katzenbesitzer. Individuell auf die Bedürfnisse des eigenen Tieres abgestimmt, erhalten die Nutzer wertvolle Hilfestellungen, Erste Hilfe-Tipps und Terminerinnerungen.

 

„Wir wünschen uns, dass es den Tieren in ihrem Zuhause gut geht und sie sicher und glücklich leben können. Daher haben wir unser Wissen und unsere Erfahrung im Heimtierschutz in unsere App einfließen lassen, um allen Hunde- und Katzenbesitzern zur Seite zu stehen“, so Thomas Schröder, Präsident des Deutschen Tierschutzbundes.

 

Besonders frischgebackene Tierhalter sind häufig verunsichert, wenn sie den neu adoptierten Schützling mit nach Hause nehmen und sich nach und nach mit unzähligen Fragen konfrontiert sehen: Welches Futter ist das Richtige? Wie wird der Junghund stubenrein? Wird sich die vorhandene Katze mit der neuen verstehen? Ist das harmloser Juckreiz oder eine Ohrenentzündung? Die App „Mein Haustier“ bietet hier Hilfe und Rat.

 

Digitaler Helfer für die Hosentasche

Vollkommen kostenfrei und ganz ohne Registrierung kann in der App ein Steckbrief des eigenen Hundes oder der eigenen Katze angelegt werden. Auf Basis von Eckdaten, wie Größe, Gewicht oder Alter, ergibt sich anschließend ein individueller Ratgeber. So bekommen die Nutzer Tipps, die für sie und ihre Vierbeiner auch wirklich relevant sind. Und natürlich ist dabei auf das Wissen und die langjährige Erfahrung des Deutschen Tierschutzbundes Verlass: Die Experten des Verbandes geben Empfehlungen aus den Bereichen Haltung, Erziehung, Pflege, Ernährung, Gesundheit und Reisen. Außerdem enthält die App Erste Hilfe-Tipps für den Ernstfall und weiß, was zu tun ist, wenn das Tier vermisst wird oder es ihm nicht gut geht. Zudem erinnert sie die Nutzer an Termine, etwa an jährlich anstehende Impfungen oder an die Gabe von Medikamenten. Nützliche Checklisten zur Urlaubsplanung oder für den Tierarztbesuch garantieren, dass an alles gedacht wird.

 

Mehr Infos zur App „Mein Haustier“ und die Möglichkeit zum kostenfreien Download finden Interessierte auf der Website www.mein-haustier-app.de.

Vogelfütterung - Deutscher Tierschutzbund Januar 2019

 

Wenn im Herbst die Temperaturen fallen, stellen sich viele Tierfreunde die Frage, ob die bei uns überwinternden Vögel bei ihrer Futtersuche unterstützt werden müssen. Manche Experten plädieren sogar dafür, Vögel ganzjährig zu füttern. Hierzu gibt es unterschiedliche Argumente, die zu überprüfen und abzuwägen sind.

Die Gegner der Fütterung befürchten einen unkontrollierten Eingriff in den Ablauf der Natur, der den natürlichen Ausleseprozess verhindere. Kranke und schwache Tiere würden durch den Winter gebracht, obwohl die Natur dies nicht vorgesehen hätte. Außerdem würden nur solche Vogelarten unterstützt, die dies nicht nötig hätten, da ihr Bestand ohnehin nicht gefährdet sei. Seltenere Arten würden dabei noch weiter zurückgedrängt.

Die Befürworter der Fütterung halten mit Recht dagegen, dass die Umweltbedingungen für unsere Vögel schon schlecht genug sind, so dass es auf den Schutz jedes einzelnen Tieres ankommt. Unmengen von Pestiziden, die sowohl von den Landwirten als auch von vielen Kleingärtnern versprüht werden, haben die Anzahl der Insekten und damit das Futterangebot für die Vögel vermindert. Überdies werden die giftigen Chemikalien in noch überlebenden Insekten gespeichert. Fressen die Vögel diese Insekten, so sammeln sich die Gifte im Fett der Vögel an. Wenn das Fett in eisigen Nächten, in denen kleinere Singvögel, wie zum Beispiel Meisen, bis zu zehn Prozent ihres Körpergewichtes verlieren, wieder abgebaut wird, gehen die Tiere unter Umständen an den freigesetzten Giften qualvoll zugrunde.

In Gebieten, in denen, beispielsweise infolge zunehmender Intensivierung der Landwirtschaft, die Nahrung knapp ist, finden die Vögel auch in der warmen Jahreszeit weniger Futter als früher. Wildkräuter, die Insekten anziehen, gehen immer stärker zurück. Perfektionierte Erntemaschinen sammeln auch das letzte Getreidekorn vom Acker. Um in solchen Arealen einem größeren Vogelbestand ein Auskommen zu sichern, sollte nicht nur im Winter, sondern auch im Frühling, Sommer und Herbst artgerechtes, hochwertiges Futter gereicht werden. Auch dadurch, dass Hecken und Sträucher abgeholzt wurden, haben viele Vögel ihren Lebensraum verloren. Nicht nur in der freien Natur, auch in den Gärten wurden und werden immer noch Brutplätze und Versteckmöglichkeiten der Vögel zerstört, was den Bestand aller betroffenen Vogelarten bedroht und zum Teil erheblich reduziert. 

Angesichts dieser Umstände kann von einem „natürlichen Ausleseprozess“ durch einen harten Winter kaum noch gesprochen werden. Wenn gefüttert wird, muss dies unbedingt zur richtigen Zeit, am richtigen Ort und mit geeignetem Futter geschehen. Unsachgemäße Fütterung schadet den Tieren mehr als gar keine Fütterung.

 

Mehr zum Thema finden Sie hier : Vogelfütterung

 

Pino, 

 

ist ein ehemaliger Hund aus dem Tierheim Wolfenbüttel, der vor ca. 4 Jahren bei seinen Menschen Beate Pietreck und Carsten Speer in Salzgitter Lichtenberg ein wundervolles Zuhause gefunden hat. Pino war kein Anfängerhund und obwohl er es seinen Menschen nicht immer leicht gemacht hat und teilweise noch nicht macht, werden die beiden nicht müde mit ihm die Hundeschule zu besuchen und konsequent zu trainieren. Sie haben bereits sehr viel geschafft, z. B. ist aus Pino ein sehr guter Gastgeber geworden, der Artgenossen jeder Art gern auf seinem Hof willkommen heißt.

So ist es seit Jahren Tradition geworden, das ein gemeinsamer Spaziergang im Herbst durch die "Lichtenberge" damit abschließt, das ca. 30 Menschen und 15 bis 20 Hunde bei den "PINOS" einkehren und dort  unentgeltlich super verköstigt werden. Bei dieser Gelegenheit wird dann immer für das Tierheim Wolfenbüttel gesammelt und in diesem Jahr konnten wieder 270,- € übergeben werden.

 

Ganz herzlichen Dank dafür, an alle Teilnehmer und ein besonderer Dank den "PINOS"!

 

Pressemeldung

 

06.06.2018

 

#RegistrierDeinTier

Mehrheit der Hunde und Katzen bisher nicht registriert

 

Mehr als die Hälfte (54 Prozent) aller Hunde und Katzen sind nicht in einem Haustierregister registriert – das zeigt eine aktuelle Umfrage im Auftrag des Deutschen Tierschutzbundes*. Wird ein vermisstes Tier von einem Finder aufgegriffen oder landet im Tierheim, ist es jedoch ohne Kennzeichnung und Registrierung schwierig, den Halter ausfindig zu machen. Darauf weist der Deutsche Tierschutzbund hin und fordert alle Tierhalter auf, ihre Tiere registrieren zu lassen. Der Verband hat dazu die Kampagne #RegistrierDeinTier (www.registrier-dein-tier.de) gestartet.

 

„Es kommt immer wieder vor, dass Katzen nicht wie gewohnt nach Hause kommen oder dass sich Hunde losreißen und auch auf Rufen nicht zurückkehren“, sagt Andrea Furler-Mihali, Fachreferentin für Heimtiere beim Deutschen Tierschutzbund. „Wir können nur appellieren: Lassen Sie Ihr Tier nicht einfach verschwinden. Schützen Sie es mit einer Kennzeichnung und Registrierung, damit es im Fall der Fälle identifiziert werden kann und möglichst schnell wieder nach Hause kommt.“

 

Fehlende Registrierung erschwert die Heimkehr des Tieres

Damit ein Tier in einem Haustierregister registriert werden kann, muss es zunächst unverwechselbar gekennzeichnet werden. Der Deutsche Tierschutzbund empfiehlt die Kennzeichnung durch einen reiskorngroßen Transponder, den der Tierarzt unter die Haut des Tieres setzen kann. Möglich ist dies bei Hunden und Katzen, aber auch bei Kleintieren, wie Kaninchen, sowie bei Pferden. Bei Ziervögeln ist die Kennzeichnung über einen Ring am Fuß möglich. „Unsere Erfahrung zeigt, dass die Tiere zwar oft gekennzeichnet sind, im Anschluss aber die ebenso wichtige Registrierung nicht vorgenommen wird“, sagt Furler-Mihali. Letztlich ist der Halter selbst dafür verantwortlich, dass er die auf dem Chip gespeicherte 15-stellige Nummer bzw. die Ringnummer zusammen mit weiteren Daten zum Tier und dem eigenen Kontakt in einem Haustierregister hinterlegt. Dies geht bei FINDEFIX, dem Haustierregister des Deutschen Tierschutzbundes, einfach und kostenfrei auf www.findefix.com oder mit einem schriftlichen Anmeldebogen. Der Tierhalter erhält im Anschluss per Post eine Bestätigung mit allen wichtigen Unterlagen. Hundehalter bekommen zusätzlich eine Plakette für das Hundehalsband. „Nur die Kombination dieser zwei einfachen Maßnahmen – Kennzeichnung und Registrierung - kann sicherstellen, dass ein entlaufenes Tier und sein Besitzer schnell wieder zusammen finden“, so Furler-Mihali.

 

 

* Quelle: Umfrage des Bonner Marktforschungsanbieters OmniQuest im Auftrag des Deutschen Tierschutzbundes (2018)

18.04.2018 news38.de

BUND warnt vor Verwechselung junger Wildkatzen mit Hauskatzen im Harz

 

 

 

Magdeburg. Der Bund für Umwelt und Naturschutz (BUND) ruft Wanderer auf, junge Wildkatzen nicht anzufassen. "Davon raten wir dringend ab. Das Muttertier ist in der Regel nicht weit weg", sagte Sprecherin Nicole Hermes vom BUND Sachsen-Anhalt am Mittwoch.

Bald mehr junge Wildkatzen

Demnach würden junge Wildkatzen häufig mit hilflosen Hauskatzen verwechselt und mitgenommen. In den nächsten Monaten sei vermehrt mit jungen Wildkatzen in der Natur zu rechnen.

 

Private Haltung ist verboten

"Die Jungtiere sollten wenn überhaupt nur kurz aus größerer Entfernung beobachtet werden", sagte Hermes. Eine private Haltung der streng geschützten Tiere ist verboten. Ältere Wildkatzen können durch ihren kräftigen Körperbau und den buschigen Schwanz mit stumpfer, schwarzer Spitze von den Hauskatzen unterschieden werden.

Harz ist das Revier der Wildkatze

Der Harz gehört zu den wichtigsten Lebensräumen der Wildkatze in Europa. Nur dort konnte die Tierart trotz starker Verfolgung in vergangenen Zeiten in Sachsen-Anhalt überleben. Wer junge, vermeintlich hilflose Wildkatzen gesehen hat, wird gebeten, den BUND vor Ort zu informieren.

 

 

Quelle: news38.de;(Foto: Thomas Stephan/BUND)

Pressemeldung - Deutscher Tierschutzbund

04.04.2018

 

Neue Kampagne wirbt für die Stadttaube

 

Mit seiner neuen Kampagne #RespektTaube, die am 5. April startet, wirbt der Deutsche Tierschutzbund für einen respektvollen und tierschutzgerechten Umgang mit der Stadttaube. Ziel der Kampagne ist es, die Bevölkerung über Vorurteile aufzuklären und mit dem negativen Image der Taube aufzuräumen. Gleichzeitig stellen die Tierschützer Städten und Gemeinden Infomaterial zur Verfügung und zeigen auf, wie sich die Taubenpopulation durch die Errichtung von Taubenhäusern und –türmen tiergerecht regulieren lässt.

 

„Man muss die Taube nicht zwingend lieben, doch respektieren muss man sie allemal. Der tagtägliche Umgang mit den Tieren zeigt jedoch leider häufig das Gegenteil“, sagt Thomas Schröder, Präsident des Deutschen Tierschutzbundes. „Damit Tauben und Menschen friedlich koexistieren können, braucht es sowohl die Aufklärung der Bevölkerung als auch flächendeckende Konzepte zur tierschutzgerechten Bestandsregulation.“

 

Insbesondere Verschmutzungen durch Taubenkot an Gebäuden und die Angst vor der Übertragung von Krankheiten führen dazu, dass sich viele Menschen durch die großen Stadttaubenschwärme belästigt fühlen. Was viele nicht wissen: Die anpassungsfähigen und intelligenten Stadttauben sind Nachkommen entflogener Haustauben und die gesundheitliche Gefährdung ist nicht größer als durch andere Zier- und Wildvögel oder Haustiere.

 

Bestandregulierung gelingt mit Taubenschlägen

Viele der angewandten Vergrämungsmethoden für Tauben stellen ein Tierschutzproblem dar. An Spikes verletzen sich immer wieder junge und unerfahrene Vögel, in Netzen können sich die Tiere verheddern und qualvoll zu Tode kommen. Dass Tauben abgeschossen oder eingefangen und getötet werden, ist zudem keine Seltenheit. Dieses Vorgehen ist weder tierschutzgerecht noch effektiv. Denn die Bestände erholen sich aufgrund des großen, aber nicht artgerechten Futterangebots in den Städten innerhalb weniger Wochen. Die einzige tiergerechte Lösung zur Bestandsregulierung gelingt mit Hilfe von betreuten Taubenschlägen, -häusern oder –türmen. Diese bieten den Tauben attraktive Nistmöglichkeiten, in denen gelegte Eier leicht durch Attrappen ausgetauscht werden können. Viele Mitgliedsvereine des Deutschen Tierschutzbundes betreiben bereits seit Jahren solche Taubenhäuser und stehen im Dialog mit den Gemeinden. „Mit der Kampagne wollen wir auch die wertvolle Arbeit der Vereine vor Ort unterstützen und weitere Kommunen davon überzeugen, diesen Weg zu gehen“, sagt Schröder.

 

Weitere Informationen zur Kampagne #RespektTaube und ein emotionales Taubenvideo finden Interessierte unter www.tierschutzbund.de/taubenschutz.

Tierhaltung in der Mietwohnung: Was erlaubt und was verboten ist (Quelle: immowelt.de)

 

Haustier ist nicht gleich Haustier – vor allem nicht im Mietrecht. Kleintiere, wie Hamster oder Fische, dürfen Mieter auch ohne Erlaubnis des Vermieters halten. Bei Hunden, Katzen und exotischen Tieren wird das Ganze schon komplizierter. Das sollten Mieter zur Tierhaltung in der Mietwohnung wissen.

 
 

Katze oder Hund, Kaninchen oder Mini-Schwein: Wenn der Mieter sich für ein Haustier entscheidet, steht er unmittelbar vor der Frage, ob er es in der Wohnung halten darf. Haustierhaltung ist im deutschen Mietrecht nicht eindeutig geregelt, daher kommt es auf den individuellen Fall an: Ein Golden Retriever bekommt die Erlaubnis vielleicht, ein Goldfisch braucht sie gar nicht erst.

 

weiterlesen ...

 

Jahresempfang der Stadt Wolfenbüttel - 02.03.2018

 

http://regionalwolfenbuettel.de/jahresempfang-der-stadt-vorfreude-auf-das-jubilaeumsjahr/

 

Beim Jahresempfang der Stadt Wolfenbüttel gestern Abend wurden unter anderem unsere ehrenamtlichen Mitarbeiter geehrt!

Wir bedanken uns ganz herzlich bei allen die uns unterstützen, auch im Namen unserer Fellnasen! Ohne euch wäre dies alles nicht möglich!

Pressemeldung - Deutscher Tierschutzbund e.V. - 13.09.2017

 

Unser Deutsches Haustierregister heißt jetzt FINDEFIX!
Mit neuem Namen und neuer Webseite startet unser Haustierregister ganz neu durch. Die Webseite besticht dabei nicht nur durch ihren modernen Look, sondern auch durch neue und optimierte Funktionen: Die Registrierung und das Vermisstmelden von Tieren ist jetzt noch übersichtlicher und einfacher. Außerdem können Tierhalter nun online nach vermissten Tieren in der eigenen Umgebung suchen, ein Suchplakat erstellen und eine Suchmeldung auf
www.findefix.com veröffentlichen. Schaut mal rein, es lohnt sich!

 

 

 

Quelle und Bild: Deutscher Tierschutzbund e.V.

Pressemeldung Deutscher Tierschutzbund - 07.08.2017

 

Internationaler Tag der Katze

Deutscher Tierschutzbund fordert mehr Katzenschutz

 

Anlässlich des Internationalen Tages der Katze (08.08.) erinnert der Deutsche Tierschutzbund an das Leid der rund zwei Millionen Katzen, die allein in Deutschland auf der Straße leben. Unterernährt, krank und verletzt, führen die meisten Tiere täglich einen Kampf ums Überleben. Jede einzelne dieser Straßenkatzen stammt ursprünglich von einer unkastrierten Hauskatze mit Freigang ab. Die Tierschützer appellieren daher an alle Katzenhalter, ihre Tiere kastrieren und darüber hinaus zur Identifizierung kennzeichnen und registrieren zu lassen. Denn nur so kann die dramatische Anzahl der Katzen ohne Zuhause langfristig reduziert werden. Gleichzeitig nimmt der Verband die Politik in die Pflicht und fordert eine bundesweite Katzenschutzverordnung, um das Leid der Katzen zu beenden. Im Rahmen der Kampagne „Die Straße ist grausam. Kastration harmlos.“ unterstützten 100.000 Menschen diese Forderung mit ihrer Stimme.

 

„Wir können die dramatisch hohe Zahl der frei lebenden Katzen nur reduzieren, wenn Katzenbesitzer handeln und ihr Tier – egal ob Katze oder Kater – kastrieren lassen“, erklärt Thomas Schröder, Präsident des Deutschen Tierschutzbundes. Gleichzeitig nimmt Schröder aber auch den Gesetzgeber in die Pflicht: „Wir brauchen dringend ein Kastrations-, Kennzeichnungs- und Registrierungsgebot für Freigängerkatzen, um das Problem in den Griff zu bekommen. Nur so können auch unsere Tierheime langfristig entlastet werden.“

 

Tierheime springen ein

Da frei lebende Katzen von Hauskatzen abstammen, sind sie als domestizierte Tiere nicht in der Lage, sich und ihre Nachkommen alleine zu versorgen. Die Unterbringung und Versorgung von Jungkatzen aus Straßenkatzengruppen oder von Privathaltern stellt die Tierheime Jahr für Jahr vor eine große Herausforderung. Frei lebende Katzen sind nicht auf den Menschen sozialisiert und können deshalb häufig nicht ohne Stress und Leid in Menschenobhut vermittelt werden. Die einzige sinnvolle Lösung zur Eindämmung der weiteren Vermehrung der frei lebenden Katzen ist die Kastration der fortpflanzungsfähigen Tiere. Dies wird von Tierschutzvereinen in aufwendigen, durch Spenden finanzierten Kastrationsaktionen durchgeführt. Die Katzen werden im Rahmen der Kastration zusätzlich gekennzeichnet und registriert und anschließend schnellstmöglich wieder in ihr angestammtes Revier entlassen. Danach werden die Tiere weiterhin an kontrollierten Futterstellen versorgt.

 

Mehr Informationen zur Kampagne:

www.tierschutzbund.de/Katzenschutz

 

Achtung  Bärenklau – Gefahr für Mensch und Tier im Sommer

 

 

Sein Pflanzensaft beinhaltet Furocumarine und diese können bei Menschen und Tieren fatale Hautreaktionen auslösen. Furocumarine sind phototoxische Substanzen, die UV-Licht absorbieren und mit der daraus gewonnen Energie chemische Reaktionen auslösen.

Bei Hautkontakt mit dem Pflanzensaft des Riesen-Bärenklau (Heracleum mantegazzianum) bzw. Herkulesstaude und Wiesenbärenklau (Heracleum sphondylium), kommt es unter Sonnenlichteinwirkung zu verbrennungsähnliche Rötung, Schwellung und Blasenbildung der Haut und anschließender Wiesendermatitis (Haarverlust).

 

Bei Hautkontakt sollte die Haut gründlich abgewaschen und vor der Sonne geschützt werden. Bereits entstandene Hautrötungen sollten wie Verbrennungen behandelt werden. Die Ausheilung der Hautveränderungen ist langwierig und oftmals bleiben Narben und Pigmentveränderungen zurück.  

 

(Quelle Tierschutz4all)

 

 

Spendenaktion zu Gunsten des Tierheimes WF!

 

Ab sofort befindet sich auf dem Parkplatz des Tierheimgeländes ein Altkleidercontainer, der auch außerhalb der Geschäftszeiten befüllt werden kann. Der Erlös aus den gesammelten Textilien und Schuhe kommt ausschließlich dem Tierheim Wolfenbüttel zu Gute!!!

Wir bitten um Ihre Mithilfe!

 

Tierheim und

Tierschutzverein Wolfenbüttel e.V.

Am Rehmanger 14

38304 Wolfenbüttel

 

 

Tel. 05331 - 62022

Fax. 05331 / 887263

Email

 

Eine Tiervermittlung oder Besichtigung ist NUR mit Terminvereinbarung möglich.

 

Telefonische Sprechzeiten:

Mo - So  10 - 12 Uhr

sowie Mo, Mi, Fr 

von 15 - 17 Uhr

Dienstag, Donnerstag und an Feiertagen bleibt das Tierheim geschlossen.

 

Ohne Termin NUR Annahme von Fund-/Pensionstieren oder Notfällen!

Kein Besuch, Beratung oder Vermittlung von Tieren.

 

Außerhalb unserer Zeiten wenden Sie sich bitte

- bei Fundtieren an die Polizei Wolfenbüttel

05331 – 9330

- bei verletzten Tieren an einen Tierarzt/Tierklinik

 

Spendenkonto:

Commerzbank

DE 55 2704 0080 0649 9990 00

 

oder schneller

mit PayPal

 

Facebook

 

Amazon Wunschliste

 

Altkleiderspenden

Container vor dem Tierheim - der Erlös kommt unseren Tieren zugute